Canine fertility services
Our team is accredited by DEFRA, CPD, LANTRA, and OFQUAL to provide a comprehensive range of breeding services. We also have an on-call vet available to handle all veterinary needs, including caesarean sections, at highly competitive rates. Please get in touch for more information.
Testing services
Progesterone testing
Located in Wisbech, our progesterone testing service uses the industry-leading AIA 360 machine to determine the ideal time for breeding. This highly accurate testing method is widely used to pinpoint the optimal period for insemination, increasing the likelihood of success. We provide same-day results, often within the hour.
Semen Testing
We offer comprehensive testing of your male’s semen to assess its motility, morphology, and viability, ensuring it has a healthy form and good movement. This allows you to evaluate the quality and suitability of the stud dog. Using our photometer, we can also provide an accurate sperm count along with a laminated certificate for your records.
DNA testing
We provide DNA testing to identify specific genetic traits in breeding animals and assess the likelihood of these traits being passed on to offspring. Our services include testing for colour breeding potential, genetic disease identification, and lineage verification.
Prices:
– Progesterone Testing: £50
– Semen Analysis: £45 (analysis only)
– Semen Analysis and Count with Laminated Certificate: £60
– DNA Testing: Prices vary depending on breed and test type—please contact us for more information.
Microchipping services
In England, it is a legal requirement to microchip and register your dog by the time they are 8 weeks old. From 10th June 2024, it will also be mandatory to microchip cats by the age of 20 weeks.
Zea’s Canine Fertility Solutions provides microchipping services for both cats and dogs, ensuring the process is as quick and painless as possible.
Microchipping Prices:
– Microchipping: £7 per animal
– Mobile Microchipping: From £10, depending on litter size and location
Breeding services
Zea’s Canine Fertility Solutions brings years of experience in providing breeding services and expert advice to help you achieve the best possible litter of puppies. Whether you need assistance finding a stud dog or require support with puppy rearing, we are here to help.
Prices:
In-House Stud Service: Price varies depending on the stud
Whelping Assistance: £40 per hour (in hours), £65 per hour (out of hours)
Hand Rearing Pups: Up to £600 per week, depending on litter size and the needs of the pups and bitch
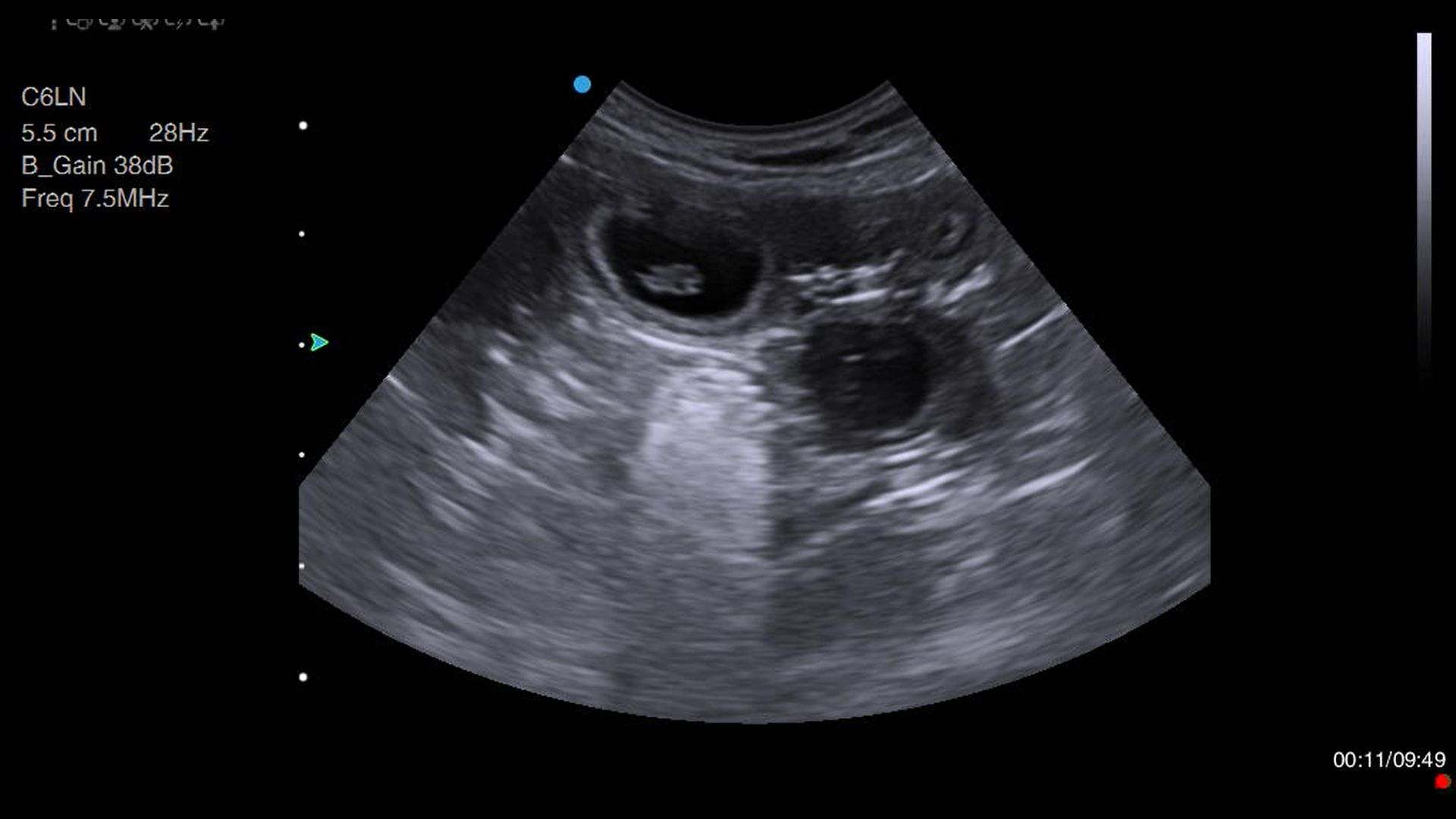
Ultrasound Scanning.
Ultrasound scanning is 100% safe for both mother and unborn puppies/kittens. We can look from 28days of breeding seeing how many pup/kittens can be seen on the screen at the time of scanning, (numbers are an estimate).
We can detect heartbeats, empty sacs, and skeleton (skeleton from 33 to 39 days)
We can give you the necessary advice for pregnant mums, we can also scan for Pyometra in certain unfortunate cases but confirmation would be needed from a vet.
We are happy for photos and videos to be taken .
Ultrasound scanning is £30.
